
点击拨打
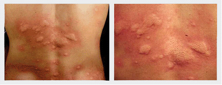
患者身上出现荨麻疹的症状多是由过敏原引起的,经常会冒出一些块块形状、大小不一的红色斑块,汕头肤康皮肤病医院医师介绍:荨麻疹引起的瘙痒症状严重影响人的生活质量,同时慢性荨麻疹也会引起恶心、呕吐等消化道症状,如果发病在喉头处,甚至可能引起患者呼吸困难导致窒息死亡。
【警惕】小小荨麻疹 惹出人命不值得

一、影响生活质量。慢性荨麻疹若发病未及时治疗,可迁延长达数月甚至若干年,晨起或临睡前瘙痒加重,影响人的正常生活和心理状态。因此慢性荨麻疹必须治疗,而不是像某些医生说的那样不需要治疗,任其发展,较后导致严重的后果!
二、诱发其他疾病。慢性荨麻疹发病如伴有消化道症状,会引起恶心、呕吐、腹泻和腹痛胃肠道功能紊乱;伴发溃疡性结肠炎,克罗恩病。慢性荨麻疹致病的主要原因是免疫功能紊乱,因此可以诱发肾炎,自身免疫性甲亢,系统性红斑狼疮,甚至免疫监视功能低下导致恶性肿瘤等!生育期妇女还可以导致免疫性不育及流产!
三、危及生命。慢性荨麻疹如发病在呼吸道的喉头和支气管处,会导致反复发作的喉头水肿,出现咽喉堵塞感,气促、胸闷、呼吸困难,严重时导致患者窒息死亡;病情严重者,伴有心慌、烦躁、恶心、呕吐,甚至血压降低等过敏性休克症状,危及生命。
温馨提示:本网站已加密,保证您的隐私安全,就诊前通过手机预约可免排队等候,免医生挂号费。
门诊时间:8:00—20:00
医院电话:17099839115
汕头肤康皮肤病医院
地址:汕头市龙湖区长江路15号信宝大厦